Up to $1,500 in Treatment Credits for New Patients!
Offer ends 30th of June 2026
Creating Marvellous Smiles – Your Trusted Sydney Orthodontist
BOOK A CONSULTATIONReasons to chooseMarvel Orthodontics
Discover why families and patients across Sydney trust Marvel Orthodontics for their orthodontic care. From expert treatments to personalised service, here are just some of the reasons to start your smile journey with us today.
Evening appointments at Marvel, Gordon
Female, Mandarin-speaking orthodontists
Interest-free payment plans
Personalised Treatment Plans
2 Convenient Locations in Sydney
Experienced and caring team
Treatments available at Marvel Orthodontics, Sydney
At Marvel Orthodontics, we provide advanced orthodontic solutions tailored for all ages, from children to adults. Whether you’re looking for Invisalign® or clear aligners, braces, or orthodontic solutions for children, we offer expert care at affordable prices across our two convenient Sydney locations.
Problems We Solve
See how we can help your smile!
Learn about some of the orthodontic issues we treat at our practice.
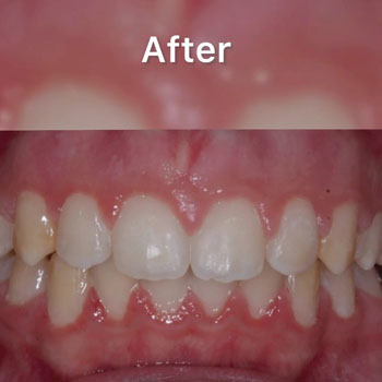
Problems we solveMarvellous smiles
See the difference orthodontic treatment can make in a smile!
Costs
Your treatment, your way
We do everything we can to make treatment fit into your budget at Marvel Orthodontics.
CostsMeet the Doctors
Get to know the two incredible women behind the beautiful smiles at our practices in Gordon and Hurstville, Sydney.
Dr Jessica Li
Specialist Orthodontist
Jessica had braces as a child, and it made her passionate about the powerful transformations orthodontics can achieve. She would love to help you achieve your own smile transformation!
Meet the doctors
Dr Jenny Doan
Specialist Orthodontist
Jenny loves nothing more than putting a smile on your face. She thoroughly enjoys interacting with her patients and working with you to help you achieve your very best smile.
Meet the doctors
BOOK A CONSULTATION
Start your smile journey - your way!
At Marvel Orthodontics, we provide free Invisalign® consultations and comprehensive orthodontic consultations, conveniently available at both of our Sydney locations.
Book a consultation
